大家有没有发现一个越来越明显的趋势,如今的耳鼻喉科诊室年轻人逐渐多了起来。


这种正在瞄准年轻群体,让人猝不及防的耳部问题就是我们今天要谈的
突发性耳聋
据《中华耳鼻咽喉头颈外科杂志》数据显示,我国突发性耳聋发病率从2005年到2020年飙升3倍以上,其中20-40岁的年轻人占比已超六成。

突发性耳聋(简称“突聋”)是指72小时内突然发生的、原因不明的感音神经性听力损失,且至少在相邻两个频率上听力下降≥20dBHL。国际标准与国内存在细微差异,美国2019年指南采用“3个相邻频率下降≥30dBHL”的更严格标准。

图源网络
通常,突聋会出现以下这些异常表现症状:
突然发生的听力下降,通常以单侧居多
耳鸣(约90%耳聋合并有耳鸣症状)
耳闷胀感(约50%听力下降患者出现耳闷胀感)
听觉过敏或重听
除了耳部的症状,可能还会伴有眩晕或头晕,部分患者会出现精神心理症状,如焦虑、睡眠障碍等。
突聋的治疗效果,和就诊时间直接挂钩。《突发性聋诊断和治疗指南(2015)》强调,发病72小时内是诊断与干预的黄金期,及时确诊并启动治疗,听力完全恢复率可达65%;超过1周后再治疗,恢复率骤降至30%以下。

突聋的确诊需依托听力学、影像学等现代科学手段的协同验证,其中听力学检查是重中之重。
听力学检查
纯音听阈测试:这是最关键的诊断依据,能明确听力损失的程度与类型。
根据测试结果,突聋可分为四型:

低频下降型
(1000Hz以下受损)

高频下降型
(2000Hz以上受损)

平坦下降型(全频率均降且
平均听阈≤80dBHL)

全聋型(全频率均降且
平均听阈≥81dBHL)
声导抗测试:通过鼓室图判断中耳功能,突聋患者多为正常A型图,可排除中耳炎等传导性听力损失。若镫骨肌反射引不出,提示内耳或听神经通路受损。

耳声发射与听觉脑干反应:前者反映内耳外毛细胞功能,突聋患者常表现为信号减弱或消失;后者评估听觉传导通路完整性,波Ⅰ、Ⅲ、Ⅴ潜伏期延长提示神经传导异常。

NavPro ONE双耳ABR系统以“全龄适用、高效精准、强抗扰、无外接电源”的优势,打破传统测试局限。集便携手持与高度集成于一体,一台设备就能完成OAE、ABR、ASSR三项检测,省去多设备切换的麻烦,为听力诊断筛查工作提质增效。
影像学检查:排除致命性病变
并非所有患者都需常规进行影像学检查,但出现以下情况必须排查:
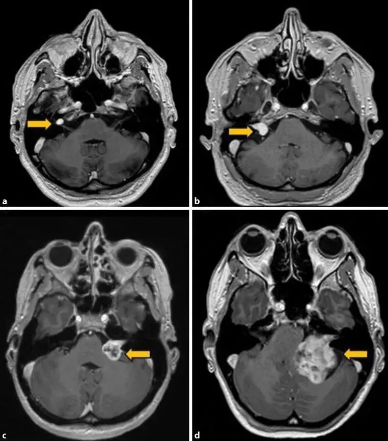
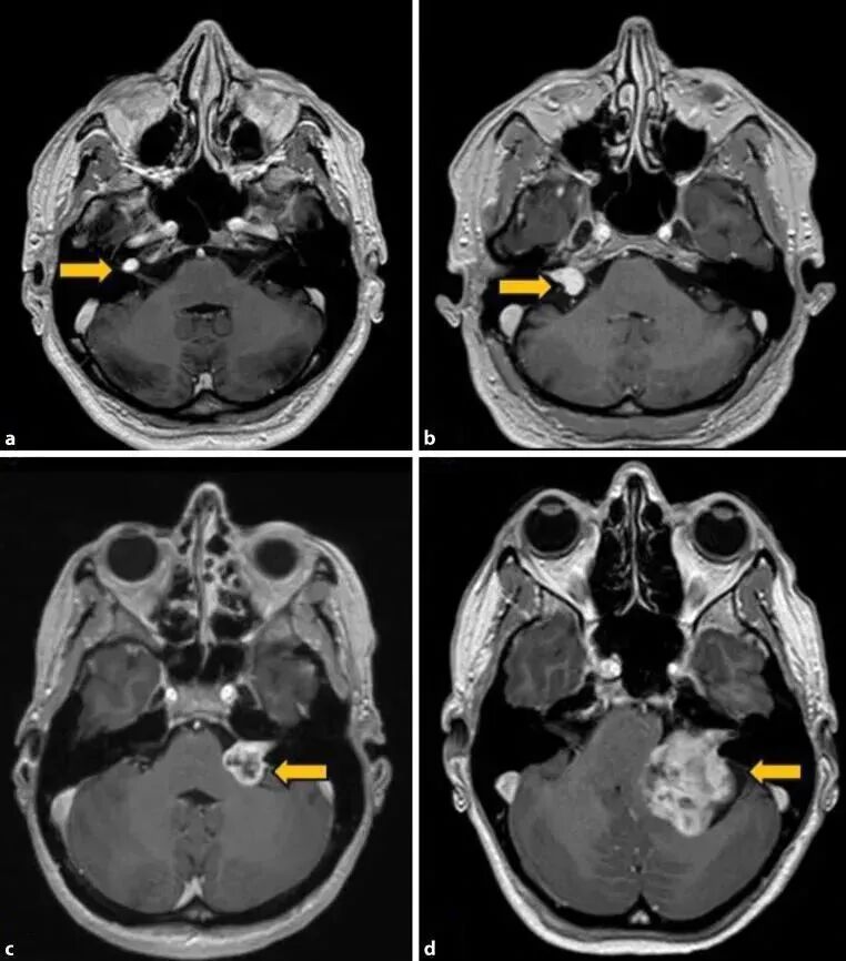
单侧听力骤降伴眩晕、耳鸣持续加重、听力下降超过1周无改善。推荐优先选择内耳MRI,其能清晰显示听神经瘤、内耳血管病变等微小病灶;颞骨CT则可排除内耳骨折、先天性畸形等器质性问题。
需要注意的是,临床数据显示,约5%的“突聋”患者经MRI检查后确诊为听神经瘤等占位性病变。

图源网络
鉴别疾病 | 核心区分点 |
听神经瘤 | 多伴单侧渐进性耳鸣,MRI可见内听道扩大或肿瘤病灶 |
梅尼埃病 | 反复发作的眩晕、耳鸣,听力呈波动性下降,常伴耳胀满感 |
脑卒中 | 可能伴肢体麻木、言语不清,头颅CT/MRI可见脑血管病变 |
自身免疫性内耳病 | 多为双侧听力下降,自身抗体检测阳性,激素治疗反应明显 |